Albert GÜVENİŞ

Professor
Dr. Albert Güveniş received his PhD. degree from Drexel University, Philadelphia, USA. He then worked as a researcher and a faculty member at the Radiology Dept. in the Hospital of the University of Pennsylvania, Philadelphia, USA in the area of Positron Emission Tomography. He then joined Boğaziçi University.
The university was founded as Robert College in 1863 and has produced Nobel Prize and several Prime Ministers across the Balkans.

Dr. Güveniş had joined a Joint Commission team to survey a hospital in Palm Desert, California USA.
NEWS!!! : A NEW PARTNERSHIP WITH PLATO, A GERMAN COMPANY DELIVERING SOFTWARE FOR DESIGN CERTIFICATION AND ISO STANDARDS HAS BEEN INITIATED IN THE CONTEXT OF THE COURSE BM 601 QUALITY ASSURANCE FOR BIOMEDICAL EMGINEERS
This partnership will allow students to better prepare for the indistrial and start-up world where quality design standards are required to comply.
RESEARCH OPPORTUNITIES
AI and Precision Medicine Systems Development with Molecular and Hybrid Imaging
The goal is to increase the effectiveness of currrent biomedical systems using AI and personalized schemes. High efficacy medical systems and procedures are devised as solutions to pressing problems for major diseases such as Cancer and Alzheimer's Disease diagnosis and therapy. Possibilities exist for work in the USA as part of the degree program with our partners.
PhD and MSc degree programs at international level for a brilliant career in a highly important area.
Those interested in applying may join our informative bi-monthly meetings (send email to pmbme@yandex.com) to have more ample information on our research program. Financial support possibilities are offered to interested students.
Innovation oriented MSc thesis focusing on technology design for needs in health care.
We currently have two active research programs:
I. Alzheimer’s Diagnostics and Staging using FDG PET Imaging and Radiomics

Our paper on Alzheimer's Disease Radiomics has been accepeted and presented at the World Molecular Imaging Conference in Montreal Canada (WMIC 2024). Since then we have published a number of journal papers on the subject.
Rasi, R., Guvenis, A. and Alzheimer’s Disease Neuroimaging Initiative, 2025. Radiomics features of FDG PET images predict ApoE4. European Journal of Radiology Artificial Intelligence, p.100009.
Please click for seeing:
Our activities on Alzheimer's Disease: Looking for clinical data & collaboration

We are able to predict AD using one brain region and two imaging features! Qualified MSc and PhD students, join us to participate in this exciting work.
Our other recent international journal publication on Alzheimer's Disease shows that it is possible to predict amyloid positivity non-invasively using imaging features!
Rasi, R., Guvenis, A. and Alzheimer's Disease Neuroimaging Initiative, 2024. Predicting amyloid positivity from FDG-PET images using radiomics: A parsimonious model. Computer Methods and Programs in Biomedicine, p.108098.
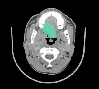
II. Cancer Diagnostics and Characterization using PET CT maging and Radiomics

We are able to characterize tumors' molecular propertiers such as gene variations and othegr characteristics such as a virus positivity, stage, grade, prognosis using PET CT data.
Our student working on cancer has received FULLBRIGHT award to conduct and continue our planned research in a prominent US lab.
She is presently in the USA and working on the heterogeneous analysis of H&N tumors with top international colaborators.
Our new publication
https://onlinelibrary.wiley.com/doi/10.1002/cam4.71481
Our international journal publication on H&N Cancer has been selected as editor's choice.
Altinok, O. and Guvenis, A., 2023. Interpretable radiomics method for predicting human papillomavirus status in oropharyngeal cancer using Bayesian networks. Physica Medica, 114, p.102671.
We went to Canary Islands with two long papers on Alzehimer's Disease and Cancer (Summer 2023). We also presented a paper at the Symposium on Drug Research and Development (DRD) 2023 in Izmir. Many other projects and journal publications are on the way.
Two book chapters are now published
Rasi, R. and Guvenis, A., 2023, June. A Platform for the Radiomic Analysis of Brain FDG PET Images: Detecting Alzheimer’s Disease. Cham: Springer Nature Switzerland. Lecture Notes in Computer Science book series (LNBI,volume 13919) (pp. 244-255).
https://link.springer.com/chapter/10.1007/978-3-031-34953-9_19
Sarac, K. and Guvenis, A., 2023, June. Determining HPV Status in Patients with Oropharyngeal Cancer from 3D CT Images Using Radiomics: Effect of Sampling Methods. Lecture Notes in Computer Science book series (LNBI,volume 13920) . Cham: Springer Nature Switzerland (pp. 27-41)
https://link.springer.com/chapter/10.1007/978-3-031-34960-7_3
Recent Publications
Rasi, R., Guvenis, A. and Alzheimer’s Disease Neuroimaging Initiative, 2025. Radiomics features of FDG PET images predict ApoE4. European Journal of Radiology Artificial Intelligence, p.100009.
Rasi, R., Guvenis, A. and Alzheimer's Disease Neuroimaging Initiative, 2024. Predicting amyloid positivity from FDG-PET images using radiomics: A parsimonious model. Computer Methods and Programs in Biomedicine, p.108098.
Rasi, R. and Guvenis, A., 2023, June. A Platform for the Radiomic Analysis of Brain FDG PET Images: Detecting Alzheimer’s Disease. In International Work-Conference on Bioinformatics and Biomedical Engineering (pp. 244-255). Cham: Springer Nature Switzerland.
Sarac, K. and Guvenis, A., 2024. Using radiomics for predicting the HPV status of oropharyngeal tumors. Journal of Engineering and Applied Science, 71(1), p.11.
Altinok, O. and Guvenis, A., 2023. Interpretable radiomics method for predicting human papillomavirus status in oropharyngeal cancer using Bayesian networks. Physica Medica, 114, p.102671.
Karagöz, A. and Guvenis, A., 2023. Robust whole-tumour 3D volumetric CT-based radiomics approach for predicting the WHO/ISUP grade of a ccRCC tumour. Computer Methods in Biomechanics and Biomedical Engineering: Imaging & Visualization, 11(3), pp.665-677.
Bayat, F.K., Alp, M.İ., Bostan, S., Gülçür, H.Ö., Öztürk, G. and Güveniş, A., 2022. An improved platform for cultured neuronal network electrophysiology: multichannel optogenetics integrated with MEAs. European Biophysics Journal, 51(6), pp.503-514.
ŞİRİN, D. and GÜVENİŞ, A., PREDICTING KIDNEY TUMOR SUBTYPE FROM CT IMAGES USING RADIOMICS AND CLINICAL FEATURES. Natural and Applied Sciences Journal, 5(1), pp.29-37.
Guvenis, A., 2021, August. Evaluating Mobile Tele-radiology Performance for the Task of Analyzing Lung Lesions on CT Images. In Lecture notes (2022 Vol. 784, p. 116). Springer Nature.
Altinok, O. and Guvenis, A., 2022. Interpretable Radiomics Method for Predicting Human Papillomavirus Status in Oropharyngeal Cancer using Bayesian Networks. medRxiv.
NEWS: A NEW PARTNERSHIP WITH PLATO, A GERMAN COMPANY DELIVERING SOFTWARE FOR DESIGN CERTIFICATION AND ISO STANDARDS HAS BEEN INITIATED
Courses are taught that include practice examples and projects for students aiming to be researchers or engineers / biomedical professionals:
BM 601 on procedures and quantitative methods for the QA of biomedical instruments, processes and systems. This course has a wide audience and is suited for those who want to practice biomedical research, clinical engineering, patient safety management in hospitals as well as design, product management, clinical application consultancy, maintenance in biomedical firms.
BM 680 on biomedical probabilistic systems modeling and design for researchers and designers.
BM 611 on molecular imaging systems (PET, SPECT-CT) for diagnosing and managing complex diseases such as cancer and Alzheimer disease.
Patents, start-ups and international work are our modes of work.
The research goal of our group is to attain high precision and effective personalized diagnostic and theranostic schemes for major diseases, in particular for cancer, by the use of several methods including molecular imaging, systems modeling and signal/image processing . As a group one major goal is to attain high effectiveness in the diagnosis and treatment of cancer. We know what blocks the development of effective diagnostic therapeutic strategies and are working with our international partners to solve them.
We have already achieved a number of breakthrough results which are being published in high impact journals. These results should improve detection and management effectiveness and therefore outcomes.
Memberships include AHA, IEEE and Imaging Standards Committees, Drexel University Engineering Alumni Association. Main research activities/expertise areas include computational engineering, stochastic systems modeling, molecular and hybrid imaging, quantitation, 3D display, radiotherapy planning, and precision in medicine.
Dr. Albert Güveniş received his PhD. degree from Drexel University, Philadelphia, USA. He then worked as a researcher and a faculty member at the Radiology Dept. in the Hospital of the University of Pennsylvania, Philadelphia, USA in the area of Positron Emission Tomography. He is an alumnus of School Saint Michel.
Faculty Assignments Drexel University, USA (Instructor) University of Pennsylvania, USA (Assistant Professor) Boğaziçi University (Associate Professor) EU and other Educational Projects Initiation and Administration of EUROPEAN UNION (EC) and other Educational Programs for continuing education. Co-training of hundreds of radiology personnel on imaging technology. 1/2 M USD FUNDING was raised.
International Collaboration in Biomedical Sectoral Projects (Major multinational project cosigned by Prof Necmi TANYOLAC who founded the institute and Dr. Joel NOBEL of ECRI, Philadelphia, USA.) Emergency Care Research Institute ECRI, Philadelphia, USA, Joint Comission of Accreditation of Healthcare Organizations, JCAHO, Chicago, USA, World Health Organization, WHO, Geneva, SWITZERLAND
International Journal & Conference Reviewer activities Within world's top 15 %. https://publons.com/author/470391/albert-guvenis#profile
Participation and contribution to International Major PET Standards Committee efforts.
Biomedical Technology Development & Comercialization - Co-inventor - Patent (https://patents.google.com/patent/WO2016209184A1/ar) (USA application filed) - Award (4th among 5,000+ projects by ISO - BU TTO license agreement signed for production
- Referee TEYDEB, Jury and mentor for INNOVITA, ISEK (in Collaboration with Prof Dr. Cengizhan Öztürk) HAYALET, Member, LSRC, IEEE, AHA, Drexel University Engineering Alumni Association, TC for Int Conferences, Int Standards Committees

AI and Personalized medicine systems for Cancer, Alzheimer's Disease
Probabilistic Modeling and AI, Molecular (PET/CT - SPECT/CT) Imaging; Monte Carlo Simulation, Statistical Design, Systems Theory, Circuit Theory, Signal and Image Processing, Quality Engineering/Metrology

Research Fellowship Drexel University
BUVAK Publication Award (A class publication)
Sleep Apnea Project 2016
Best Oral Presentation Paper Award in Budapest 2017
Tema Award at the International IEEE EMBS Student Conference
Reviewer Appreciation Certificate 2019

Key note speech invitation to IEEE sponsored meeting
Considering short term trainning and graduate study proposals
New papers accepted by high impact Journals (2025)
http://dx.doi.org/10.1002/cam4.71481
Subregional Limbic Radiomics on FDG-PET Provides Accurate Early Detection of Alzheimer's Disease Ramin Rasi, Albert Guvenis
FDG-PET Detects Amygdala-Hippocampal Connection Volume and Heterogeneity in Alzheimer's Disease ProgressionRamin Rasi, Albert Guvenis
Int journal paper appeared in January 2019 on Lung Cancer
New thesis defenses completed for graduation (PhD and MSc) 2019 on 1) radiotherapy accuracy, 2) scintigraphic simulation and 3) tumor measurement. Recent defenses: Ayşegül Oral, Alpaslan Koç (PhD), Ayşenur Yüksel, Ezgi Kara.
Abstract on eye performance accepted by International Agrricultural, Biological & Life science Conference -
Invited speaker at International simulation conference - Invited speaker at International IEEE EMBS conference -
Int Journal paper appeared on issue of July 2018 -
New referee / reviewer assignments - Our paper won the best paper award in Budapest This year's conference: http://www.iscsic.org/ - Our paper on portable displays performance has been presented in Bangkok, Thailand at this year's international medical physics congress - Int Journal research article on tumor recognition has initial acceptance - Paper on Chronic Disease Quantification has been accepted to be presented at Biomath South Africa - New Int. PET imaging standard work released ( (Contribution) - Our invention has been selected by ITU among 5000+ participants for a major innovation award. - Presented new algorithm for nodule segmentation in Las Vegas USA - Presented new scheme for Alzheimer Detection in the World Congress in Toronto CANADA - Presented tumor delineation and characterization poster in Biomed Eng Conference in San Antonio, USA - PATENT application co-filed for new invention in June 2016 - Credited by PUBLONS for international journal review work - Work on new tumor delineation algorithm presented in Birmingham, UK as a poster and included in the J Nucl Med Radiation Therapy - Contribution to the international complex dynamic systems workshop - New work accepted by the IEEE transactions
Affiliations with major cancer research laboratories - High sensitivity early detection of cancerous tumours in Nuclear Medicine Imaging (Positron Emission Tomography PET and Single Photon Emission Computed Tomography, SPECT) - Tumour Delineation and Radiotherapy planning accuracy optimization in order to minimize the inflicted damage to the patient and maximize the curing effect - PET and CT Radiomics & Radiogenomics - Medical image quality optimization and assessment in Radiology & Nuclear Medicine for critical clinical applications (e.g. lung cancer) Core Research Team: Albert Guvenis, Didar Talat, Alpaslan Koc, Niyazi Erturk, Dilara Turegun; + Many other students.
Local and worldwide collaborators: We are often hosting international researchers (e.g. from the US) in our premises for enriching our research team. Those researchers who finish an innovative project are often solicited by overseas research institutions mainly in the US. Research Partnership Sollicitations should be addressed to Prof INCE. Collaborations are being conducted and considered in order to enrich our research studies and goals.
(From NCI)
Selected Conference Abstracts and Proceedings
Balta S., Guvenis, A.; “Robust Design of a Breast Scintigraphy Collimator Using Monte Carlo Simulation and Response Surface Method”, EANM 07 Annual Congress of the European Association of Nuclear Medicine, October 13-17, 2007,Copengagen, Denmark
Talat, D., A. Guvenis; A., “The Effect of Crystal Thickness on Spatial Resolution and Linearity for PET Detectors using ANN Based Positioning Algorithms: A Simulation Study”, EANM 07 Annual Congress of the European Association of Nuclear Medicine, October 13-17, 2007,Copengagen, Denmark
Berk, S., Talat, D., Guvenis; A. “A Look-Up-Table Based Positioning Algorithm for Small Organ Positron Emission Tomography”, EANM 07 Annual Congress of the European Association of Nuclear Medicine, October 13-17, 2007,Copengagen, Denmark
Guvenis, A., Guven, E., Haktan, M., Talat, D. “Web based system for bone age assessment”, Proceedings of 6th International Conference on Information and Communication Technologies in Health, 11-13 July 2008, Samos, Greece. pp 281-286. Published by National and Kapodistrian University of Athens, Greece, ISBN: 978-960-466-013-1
Demirci, U., Guvenis, A., “An Internet based System for Monitoring Patients and Relatives Satisfaction rates in Health Services”, Proceedings of the 6th International Conference on Information and Communication Technologies in Health, 11-13 July 2008, Samos; Grece. pp 236-247. Published by National and Kapodistrian University of Athens, Greece, ISBN: 978-960-466-013-1
Talat D, Guvenis A., “Comparison of Positioning Algortihms for a PET Detector: A Simulation Study”, Eur J Nucl Med Mol Imaging (2009) 36 (Suppl 2):S412
Talat D, Guvenis A., PEM Görüntüleme için Yapay Sinir Ağları Temelli Bir Pozisyonlama Algoritması 14. Biyomedikal Mühendisliği Ulusal Toplantısı, 20-24 Mayıs 2009, İzmir
Metin Yildiz, Albert Guvenis, Esra Guven, Didar Talat, Implementation and Evaluation of Computer Assisted Bone Age Assessment Methods, 7th ICICTH Samos, Greece, 16-18 July 2009
Enes Ozkalay, Albert Guvenis, Didar Talat, “Computerized Bone Age Assessment for Young Children”, 8th ICICTH Samos, Greece, 15-17 July 2010
Talat, D., S. Balta Beylergil and A. Guvenis, “Optimal Experimentation for Nuclear Medicine Imaging System Design,” 2012 Nuclear Science Symposium, Medical Imaging Conference & Workshop on Room-Temperature Semiconductor X-Ray and Gamma-Ray Detectors, Anaheim, California, USA, 29 October – 3 November, 2012.
Talat, D. and A. Guvenis, “Design and Evaluation of a Breast Specific Collimator Using Response Surface Methodology and Monte Carlo Simulations,” 2013 Nuclear Science Symposium, Medical Imaging Conference & Workshop on Room-Temperature Semiconductor X-Ray and Gamma-Ray Detectors, Seoul, Korea, 26 October – 2 November, 2013
Albert Guvenis, “Statistical Design of Biomedical Devices and Systems”, Proceedings IW BBIO 2013 International Work-Conference on Bioinformatics and Biomedical Engineering, Granada March 18-20 2013, ISBN GR 489/2013 pp: 457-464
Albert Guvenis, Alpaslan Koc, "Optimizing Delineation Accuracy of Tumors in PET for Radiotherapy Planning using Blind Deconvolution", International Conference on Radiation Protection in Medicine in Medicine, Varna Bulgaria, May 30 - June 2, 2014,
Cankaya E., Guvenis A., "Mutual Information Based Template Matching Method for the Computer Aided Diagnosis of Alzheimer Disease", IUPESM World Congress on Medical Physics and Biomedical Engineering, Toronto Canada; 06/2015
Damgacı, A., Guvenis A. Planar and Spect Study Optimization for 99mTc‐MAA Studies Using Monte Carlo Simulation International Workshop on Theoretical and Experimental Studies in Nuclear Applications and Technology TESNAT 2015; 04/2015
Tunali, I, Guvenis, A., A Fusion Method for Pulmonary Nodule Segmentation in Chest CT Image Sets, Proceedings of the IEEE International Conference on Biomedical Health Informatics, Las Vegas, USA, 24-27 February, 2016
Ozturk N, , Kaygusuz H, Guvenis A., "Can Pseudocolor Improve Performance On Portable And Mobile Devices Displays For High Detail, Low Contrast Medical Images at Daylight Conditions?", 22nd International Conference on Medical Physics, Bangkok, Thailand, 2016.
Guvenis, Albert. "Defining Process Capability Indices for Time Series Data from Patients with Chronic Diseases." Biomath Communications Supplement 4.1 (2017) Biomath 2017 Conference in South Africa, 2017.
Koç, Alpaslan, and Albert Güvenış. "Implementation method in blind deconvolution based tumor segmentation using simulated PET images." Medical Technologies National Congress (TIPTEKNO), 2017. IEEE, 2017 (Proceedings).
Sultan Damgaci, Heman Chao, Marni D. Uger, Arig Ibrahim-Hashim, Eunjung Kim, Pedro Pedro M. Enriquez‐Navas, Dominique Abrahams, Alexander R. Anderson, Albert Guvenis, Robert J. Gillies. Improving survival in pancreatic cancer using Doxorubicin in combination with L-DOS47 [abstract]. In: Proceedings of the American Association for Cancer Research Annual Meeting 2019; 2019 Mar 29-Apr 3; Atlanta, GA. Philadelphia (PA): AACR; Cancer Res 2019;79(13 Suppl):Abstract nr 1231.
Selected Journal Publications
Fischl, R., Halpin, T.F., Guvenis, A.: "The application of decision theory to contingency selection ", IEEE Transactions on CAS-29 11:712713, 1982.
Muehllehner, G., Karp, J.S. and Guvenis, A.: "A Method for reconstructing Images from Data Obtained with a Hexagonal Bar Positron Camera", IEEE Transactions on Medical Imaging, Vol. MI-4, No: 3 September 1985.
Turoglu, T., Demir, M., Guvenis, A., UrgancIoglu, I., “Detectability of lesions in Nuclear Medicine", Turkish Journal of Nuclear Medicine, 2, 30-36, 1993.
Guvenis, A., Ayan Z., Serin Ö.: “Copy Management in a Shared Care Environment using the Internet”, Topics in Health Information Management, Volume 18, No.2, 39-45, November, 1997.
Guvenis, A., Yilmaz, A., “Quality Improvement of Medical Imaging and Tele-Radiology Procedures using Computer Simulation”, J.Q.L.R. The official International E.C.Qua.L. Journal for Quality of Life Research, Vol 3, Issue 2 Suppl 1, pp 150:153 May-June 2005
Guvenis, A., Guven, A., Haktan, M., Talat, D. “Web based system for bone age assessment”, The Journal on Information Technology in Healthcare, Volume 6, issue: 5, Oct 01, 2008
Metin Yildiz, Albert Guvenis, Esra Guven, Didar Talat and Mahmut Haktan, “Implementation and Statistical Evaluation of a Web-Based Software for Bone Age Assessment”, JOURNAL OF MEDICAL SYSTEMS, Volume 35, Number 6 (2011), 1485-1489, DOI: 10.1007/s10916-009-9425-z
Guvenis, A., Koc A., "Optimizing Delineation Accuracy of Tumors in PET for Radiotherapy Planning using Blind Deconvolution", International Conference on Radiation Protection in Medicine in Medicine, May 30 - June 2, 2014, Varna Bulgaria, Abstract published in Medical Physics International Journal, vol.2, No.1, 224, 2014
Koc, A., Guvenis, A., "Effect Of Image Resampling On Tumour Volume Estimation Accuracy In Positron Emission Tomography Images Restored Via the Blind Deconvolution Method", International Conference on Medical Physics August 03-05, 2015 Birmingham, UK, Poster published at At J Nucl Med Radiat Ther, Volume: 6, DOI: 10.4172/2155-9619.S1.003
Albert Guvenis, Alpaslan Koc, "Optimizing Delineation Accuracy of Tumors in PET for Radiotherapy Planning using Blind Deconvolution", Journal of Radiation Protection Dosimetry, Vol 165, 1-4 pp 495-498, 2015.
D. Talat; A. Guvenis, Design and Evaluation of a Breast-Specific Collimator Using Response Surface Methodology and Monte Carlo Simulations, IEEE Transactions on Nuclear Science, 2016, Volume: 63, Issue: 1, Pages: 98 - 107, DOI: 10.1109/TNS.2015.2484070
Tunali, I., Stringfield, O., Guvenis, A., Wang, H., Liu, Y., Balagurunathan, Y., ... & Schabath, M. B. (2017). Radial gradient and radial deviation radiomic features from pre-surgical CT scans are associated with survival among lung adenocarcinoma patients. Oncotarget, 8(56), 96013.
Damgaci, S., Ibrahim‐Hashim, A., Enriquez‐Navas, P. M., Pilon‐Thomas, S., Guvenis, A., & Gillies, R. J. (2018). Hypoxia and acidosis: immune suppressors and therapeutic targets. Immunology, Volume 154, Issue 3 pages 354-362 (July 2018).
Tunali, Ilke, Jhanelle E. Gray, Jin Qi, Mahmoud Abdalah, Daniel K. Jeong, Albert Guvenis, Robert J. Gillies, and Matthew B. Schabath. "Novel clinical and radiomic predictors of rapid disease progression phenotypes among lung cancer patients treated with immunotherapy: An early report." Lung Cancer 129 (2019): 75-79.
Sultan Damgaci, Heman Chao, Marni D. Uger, Arig Ibrahim-Hashim, Eunjung Kim, Pedro Pedro M. Enriquez‐Navas, Dominique Abrahams, Alexander R. Anderson, Albert Guvenis and Robert J. Gillies, "Improving survival in pancreatic cancer using Doxorubicin in combination with L-DOS47", Cancer Research Volume 79, Issue 13 Supplement, (2019) pp. 1231 (Abstract)
Tunali, I., Hall, L.O., Napel, S., Cherezov, D., Guvenis, A., Gillies, R.J. and Schabath, M.B., 2019. Stability and reproducibility of computed tomography radiomic features extracted from peritumoral regions of lung cancer lesions. Medical Physics, 46(11), pp.5075-5085.
Ökmen, H.B., Guvenis, A. and Uysal, H., 2019. Predicting the polybromo-1 (PBRM1) mutation of a clear cell renal cell carcinoma using computed tomography images and KNN classification with random subspace. Vibroengineering PROCEDIA, 26, pp.30-34.
More papers in the process of being submitted.
Published Books
Erturk, S., Guvenis, A., Ternar, O., Detector Design for Animal Positron Emission Tomography Systems, Lambert Academic Publishing AG & Co. KG Saarbrücken, ISBN-13: 978-3838346281, 2010
Turegun, K.D., A Computerized System for Tracking Clinical Engineering Outcomes: using Statistical Process Control, LAP LAMBERT Academic Publishing AG & Co. KG Saarbrücken, ISBN-13: 978-3845407661, 2011
Published Booklets
Guvenis, A.: "Proper Darkroom and Photographic Quality Control Techniques", Training Course Booklet, Biomedical Engineering Institute, Bogazici University,
SCI Journals such as Springer Nature and international conferences
+90 216 516 3464
BM 611 Nuclear Medicine (Molecular Imaging) Instrumentation -
BM 601 Quality Assurance Principles for Biomedical Engineers -
NEWS!!! : A NEW PARTNERSHIP WITH PLATO, A GERMAN COMPANY DELIVERING SOFTWARE FOR DESIGN CERTIFICATION AND ISO STANDARDS HAS BEEN INITIATED IN THE CONTEXT OF THE COURSE BM 601 QUALITY ASSURANCE FOR BIOMEDICAL EMGINEERS
This partnership will allow students to better prepare for the indistrial and start-up world where quality design standards are required to comply.
BM 680 Special Topics: Biomedical Probabilistic Systems Modeling and Design
